24 HOURS DARURAT +604-226 6911 | Heart Centre Services | Thrombolytic Therapy for Stroke

  • 238, Jalan Macalister, 10400 George Town, Penang, Malaysia
    19 & 21, Jalan Logan, 10400 George Town, Penang, Malaysia
  • Pilih Bahasa

  • 50 years
64--CT-Scanner

CT SCAN JANTUNG


Penyakit jantung koroner adalah penyebab utama kematian di Malaysia dan banyak bagian dunia. Deteksi dini penting karena serangan jantung dapat terjadi tanpa adanya penyempitan arteri koroner yang signifikan




Apakah Anda ingin memeriksakan jantung dan arteri koroner Anda secara non-invasif?


Jika demikian, sekarang ada cara revolusioner untuk melakukannya. Pemindai CT 640 irisan baru kami memberikan hasil yang jelas dan akurat. Pemindaian dapat mendeteksi stenosis arteri koroner dan mencirikan endapan plak. Pencitraan tambahan beberapa detik juga akan memberikan Skor Kalsium arteri koroner Anda.

Siapa yang akan mendapat manfaat dari CT scan jantung?


Pasien dengan nyeri dada atipikal.
Pasien dengan stress test yang samar .
Pasien tanpa gejala dengan satu atau lebih faktor risiko berikut: Perokok, kadar kolesterol tinggi, riwayat penyakit jantung dalam keluarga, tekanan darah tinggi, kelebihan berat badan, diabetes melitus & gaya hidup yang kurang lakukan gerakan.
CT Scan Jantung juga berguna untuk memastikan status graft by-pass, stent patensi t dan anomali arteri koroner.

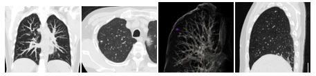
PEMERIKSAAN PARU BERDOSIS RENDAH




Kanker paru merupakan penyebab utama kematian akibat kanker di antara pria dan wanita di seluruh dunia. Sebagian besar kanker paru-paru ditemukan terlambat, sehingga tingkat kelangsungan hidup hanya selama5 tahun hanya 14%. Hanya 15% kanker paru-paru yang ditemukan pada stadium awal. Kelangsungan hidup lima tahun untuk kanker paru-paru yang dapat direseksi dini bisa mencapai 70% atau lebih tinggi. Skrining CT paru dapat mengarah pada deteksi dini dan oleh karena itu pengobatan dini dapat berhasil dilakukan.

Apakah itu pemeriksaan CT paru dosis rendah?


- Ini adalah pemeriksaan CT dosis rendah untuk mendeteksi kanker paru-paru pada pasien tanpa gejala apapun.
- Mampu memvisualisasikan berbagai kelainan paru-paru yang tidak dapat dilihat pada rontgen dada .
- Meningkatkan kemungkinan mendeteksi nodul paru-paru kecil, beberapa di antaranya mungkin bersifat kanker.

Siapa yang mendapatkan manfaat dari pemeriksaan CT paru dosis rendah?


- Perokok atau mantan perokok dengan riwayat lebih dari 10-20 bungkus per tahun (jumlah bungkus yang dihisap per hari dikalikan dengan jumlah tahun merokok)
- Riwayat keluarga dengan kanker paru-paru.
- Meningkatnya berbagai paparan karsinogen dan iritasi mis: asbes dan radon.

Pencitraan Perfusi Otak CTA


Stroke atau penyakit serebrovaskular adalah penyebab kematian ketiga di Malaysia. CT Scanner baru kami menyediakan platform evaluasi stroke komprehensif yang menawarkan pencitraan perfusi seluruh otak dan angiografi substraksi digital 4D dari sirkulasi intrakranial hanya dalam satu menit.